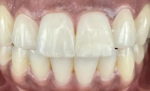
When choosing Dr. Harvey Jay Mahler at Smile 312 Chicago's Premier Dentist, you can expect to see a smile that will boost your confidence, improve your oral function, and make a positive impression. Using high-quality treatments for more than two decades, we can address your oral healthcare needs so that you walk away feeling better than before. You are welcome to view the images below to see some of our satisfied patients!
Request an Appointment

Our patients’ satisfaction is our top priority. From routine checkups to advanced dental care, we make sure every smile leaves our office healthier and happier.

Just had my first visit to Smile 312 in the Loop—spotless office, friendly staff, and they’ve got Netflix to keep you entertained. Went in for a cleaning and check-up; dropped about $150 after insurance, which felt fair. They broke down the costs and insurance stuff clearly. Scheduling was easy, and... read more they actually run on time. If you're downtown and need a solid dentist, this is the spot.
We were seen promptly. The receptionist was pleasant and efficient. Dr Mahler was exceedingly personable and thorough and explained everything in detail. The office was organized and clean with very modern equipment. All aspects of the visit were first rate
Top notch, seasoned dentist who cares about his patients. Offers current methods/tech.
Dr. Mahler has been my dentist for over 20 years. He is very proactive at planning the next step of treatment. He managed a complex dental implant and bridge situation for me. He also has put plans in place for my daughters and we have been able to avoid orthodontics.
Excellent service. I felt very comfortable.
Experience is always top tier! Staff and doctor very friendly
Our entire family have had an excellent experience with Dr. Mahler and his staff over the past 20 years. The office staff is always polite and efficient. Appointments have been easy to schedule, and we have rarely waited even a few minutes to be seen once in the office. Dr. Mahler... read more has always addressed our dental needs in the most professional and knowledgeable manner. If an issue could be treated in a less invasive and less costly manner without compromising the end result, it was done so. I have always felt the best interests of the patient were the top priority. Can’t recommend highly enough!
Thanks Dr. Mahler and the dental assistants for providing a professional and excellent service. Update: Dr. Mahler is the best dentist I have had after I visited some other dentists. He is very patient, professional, knowledgeable and trustworthy. He fixed my old crown and recommended another oral surgery expert Dr. Zager... read more for my bad tooth extraction. All was great!
I went in for an appointment to start the process of getting Invisalign, ended up finding out about other more important issues going on in my mouth. Thanks Dr. M. for being honest and candid about the health of my teeth and gums. Health is more important than aesthetics!
When I first arrived at Smile312, my mouth was in complete disarray—I honestly didn’t even know where to begin. That all changed when I met Dr. Mohler. From our very first interaction, he established a sense of trust and professionalism that immediately put me at ease. He took the time... read more to truly listen to my concerns and questions, crafting a personalized treatment plan tailored just for me. I was blown away by his depth of knowledge, ongoing commitment to staying current with the latest advancements in dentistry, and his use of state-of-the-art technology to ensure accurate diagnoses and effective treatments. What stood out most, though, was his empathy and compassion. He understood my fears and anxieties and created a welcoming, supportive environment that made me feel safe. I’m genuinely thrilled with the progress of my dental work and, believe it or not, I actually look forward to my visits! My mouth is still a work in progress, but I’m excited for what’s ahead. Can you believe I’m saying that about going to the dentist? LOL! Isabel at the front desk consistently provides a warm and welcoming first impression upon arrival. She is incredibly friendly, professional, and communicates information clearly and effectively—whether it’s about services, appointments, or billing. Isabel takes the time to explain everything in a way that’s easy to understand, and she’s always willing to answer questions or reschedule appointments when needed. Her helpful and approachable demeanor truly enhances the overall experience. Johanna, the dental assistant, is incredibly professional and attentive, always ensuring that patients feel comfortable and at ease in the dental chair. She is kind and gentle when taking x-rays, making the process smooth and stress-free. After my dental work was completed, she took the time to educate me on proper oral hygiene practices, which I truly appreciated. Additionally, Johanna maintains a meticulously sterile environment—something that is absolutely essential in a dental setting. Her dedication to patient care and safety is truly commendable.
| Monday | 8:00 AM – 5:00 PM |
| Tuesday | 8:00 AM – 5:00 PM |
| Wednesday | 8:00 AM – 5:00 PM |
| Thursday | 8:00 AM – 5:00 PM |
| Friday | 8:00 AM – 1:00 PM |
| Saturday | Closed |
| Sunday | Closed |
